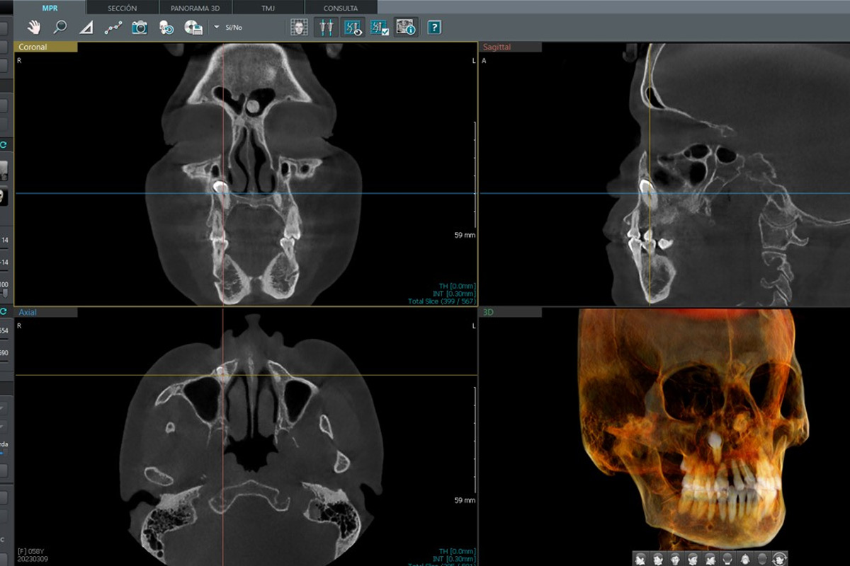
Tomografía Cone Beam
La Tomografía Cone Beam (CBCT) es una tecnología avanzada y altamente especializada utilizada en el campo del diagnóstico maxilofacial para obtener imágenes tridimensionales detalladas de las estructuras óseas y dentales del paciente. Este método innovador se ha convertido en una herramienta esencial en la planificación y ejecución de tratamientos dentales y quirúrgicos, debido a su precisión y capacidad para proporcionar información visual clara y comprensible.
Aplicaciones Clínicas
La precisión de la Tomografía Cone Beam es particularmente útil en una amplia gama de aplicaciones clínicas. Es fundamental en la planificación de implantes dentales, ya que permite a los profesionales evaluar con exactitud la densidad ósea, la proximidad a estructuras críticas como los nervios y senos paranasales, y la alineación dental. También es utilizada en la evaluación de patologías dentales complejas, en la planificación de cirugías ortognáticas, y en el diagnóstico de trastornos de la articulación temporomandibular (ATM). Su capacidad para visualizar detalles minuciosos hace que sea una herramienta invaluable en la odontología moderna.
Servicios que ofrecemos de Tomografía Cone Beam:
- Full Fov 21x19 Cráneo Completo
- Full Face 17x15 Macizo facial
- Fov 17x11 Vías aéreas
- Fov 12 X 9 Maxilomandibular
- Fov 8x8 Maxilar/Mandíbula/ATM
- Fov 5x5 Endodoncia
Beneficios para el Paciente
Los pacientes que se someten a una Tomografía Cone Beam se benefician de un proceso diagnóstico más cómodo, rápido y preciso. La exposición a la radiación es mucho menor en comparación con las tomografías computarizadas convencionales, lo que reduce significativamente los riesgos asociados. Además, la capacidad de obtener imágenes tridimensionales permite a los profesionales de la salud dental explicar con mayor claridad los problemas detectados y las opciones de tratamiento, mejorando así la comunicación y la comprensión del paciente sobre su condición.
