
En DMI, nos especializamos en servicios de diagnóstico maxilofacial que proporcionan la información necesaria para un tratamiento preciso
771 342 3753
Lunes a viernes 9.00 a 20.00 hrs.
Sábados 9.00 a 15.00 hrs.
En DMI, estamos dedicados a ofrecer soluciones precisas a través de imágenes maxilofaciales avanzadas. Con un enfoque en la calidad y la precisión, nuestros diagnósticos te brindan la información necesaria para un tratamiento efectivo. Confía en nuestra experiencia y tecnología para tu salud bucodental.
Todas nuestras sucursales cuentan con certificación en seguridad radiológica avalado por la COFEPRIS.
Nuestros servicios en DMI están enfocados en brindarte diagnósticos maxilofaciales precisos y detallados.
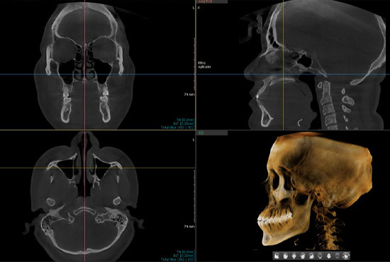
La Tomografía Cone Beam ofrece imágenes 3D detalladas del maxilar y los dientes, permitiendo diagnósticos precisos y una planificación eficaz de tratamientos complejos.
Proporciona una vista panorámica de la estructura dental y maxilofacial, ideal para evaluar el estado general de la mandíbula y los dientes.
La Radiografía Intraoral Digital captura imágenes precisas y de alta resolución de áreas específicas dentro de la boca, útil para identificar caries, infecciones o problemas en las raíces dentales.
La Fotografía Clínica documenta visualmente el estado dental y maxilofacial del paciente, facilitando la comparación de cambios a lo largo del tratamiento y mejorando la comunicación entre el profesional y el paciente.
Este software especializado permite analizar y manipular imágenes 3D obtenidas por tomografía Cone Beam. Facilita la planificación quirúrgica y ortodóntica, ofreciendo visualizaciones detalladas desde diferentes ángulos y profundidades.
Los servicios de integración 3D combinan imágenes y datos digitales para crear modelos precisos de las estructuras maxilofaciales. Esto permite planificar tratamientos con mayor exactitud y prever resultados, mejorando la eficiencia y efectividad de los procedimientos clínicos.
En DMI, cada paciente es único. Nos esforzamos por ofrecer un enfoque personalizado, asegurando que cada diagnóstico se adapte a tus necesidades específicas, brindándote confianza y tranquilidad en cada visita
Con más de 26 años de experiencia en el sector, DMI es un referente en diagnóstico maxilofacial por imágenes
Ofrecemos una variedad de servicios de diagnóstico, desde tomografía Cone Beam hasta fotografía clínica
En DMI, ofrecemos diversas opciones de pago, incluyendo tarjetas de crédito, débito y efectivo
Garantizamos diagnósticos rápidos y exactos para una mejor toma de decisiones clínicas
Cada paciente recibe un enfoque individualizado, asegurando que sus necesidades específicas sean atendidas
Utilizamos los equipos más avanzados para ofrecer diagnósticos precisos y detallados
Entendemos la importancia de tu tiempo. Por eso, te ofrecemos una forma ágil y eficiente de agendar tu cita.
Navega por nuestra lista de servicios y selecciona el que necesitas.
Selecciona el día y la hora que prefieras a través de nuestro formulario de contacto o por el botón de WhatsApp.
Recibirás un mensaje instantánea para que puedas organizar tu tiempo con tranquilidad.
Los testimonios de nuestros pacientes son un reflejo del compromiso y la calidad que ofrecemos en DMI.