Software de Tomografía 3D
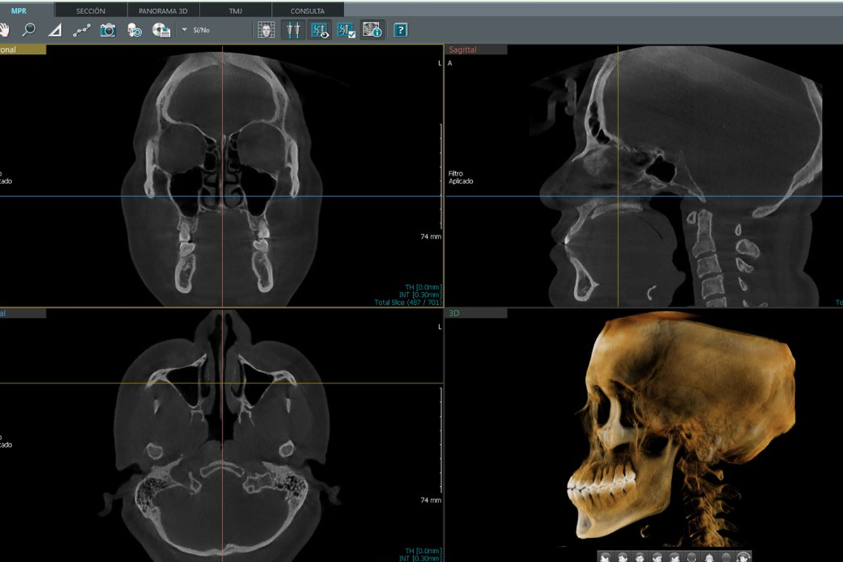
El Software de Tomografía 3D es una herramienta avanzada que permite la visualización y análisis detallado de imágenes médicas en tres dimensiones, obtenidas a través de tomografías computarizadas. En el área maxilofacial, esta tecnología es esencial para el diagnóstico preciso, la planificación de tratamientos y la evaluación anatómica completa del cráneo, la mandíbula y los dientes.
A diferencia de las imágenes en 2D, la visualización 3D permite observar las estructuras desde cualquier ángulo, lo que facilita un análisis mucho más completo y preciso. Esto es especialmente útil en procedimientos complejos, como la planificación de cirugías, colocación de implantes o tratamientos ortodónticos.
Aplicaciones Clínicas
Se utiliza para la colocación de implantes dentales, asegurando que los implantes se posicionen con precisión milimétrica en el hueso maxilar o mandibular, evitando estructuras anatómicas críticas. También es crucial en la planificación de cirugías ortognáticas, donde el software permite simular diferentes escenarios quirúrgicos y prever los resultados estéticos y funcionales. Además, este software es utilizado en endodoncia avanzada, para localizar con exactitud canales radiculares complejos y en ortodoncia, para evaluar la relación entre los dientes y las estructuras óseas subyacentes.
Servicios que ofrecemos de Software de Tomografía 3D:
- Ez3D-i y Ez3D-Plus
- Potentes visualizadores y simuladores para imágenes 3D
Por qué elegir DMI para tu diagnóstico con Software de Tomografía 3D
En DMI, estamos comprometidos con la innovación y la precisión en el diagnóstico y tratamiento maxilofacial. Con más de 26 años de experiencia, hemos integrado el uso de software de tomografía 3D de última generación en nuestros servicios, asegurando que cada paciente reciba un análisis detallado y un plan de tratamiento personalizado. Nuestro equipo de especialistas utiliza esta tecnología para ofrecerte la mejor atención posible, combinando experiencia y tecnología para lograr resultados superiores.
